Coat's Disease
Coats’ disease is a rare retinal vascular disease in which abnormal retinal blood vessels leak fluid and cholesterol into and under the retina.
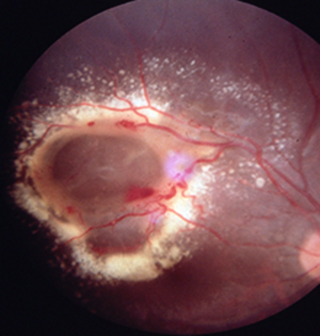
Coats’ eye with ring of cholesterol and macular cyst
Coats’ eye with fluid and cholesterol chunks under macula
How does Coats' disease cause vision loss?
Coats’ disease affects males almost exclusively, and many of the affected lose significant vision in the eye involved. Most instances of Coats’ disease arise in infants and childhood; adult onset Coats’ is rare. The younger the disease presents, the more severe it tends to be. If the case is severe or the diagnosis is significantly delayed, patients may require a complete removal of the eye. In such cases, the disease leaks so much fluid and cholesterol under the retina that the retina detaches and fills with fluid and yellowish cholesterol crystals. In severe cases, the patient may also develop severe glaucoma.
The affected eye and its vision remain at risk the entire life of the patient, and continued treatment is usually necessary through adulthood. Perhaps the one grace of Coats’ disease is the fact that it is unilateral, meaning it typically only affects one eye.
Unfortunately, this unilateral pattern puts the patient at risk of amblyopia, an eye disorder commonly known as “lazy eye”. When a child under 12 years of age has significant vision loss in predominantly one eye, the developing brain ignores that eye. Due to this neglect, the eye begins to have muscle issues known as strabismus, causing the eye to turn in or out. Though the resulting psychological effect is largely cosmetic, that effect may surpass the challenges caused by the vision loss itself.
An unsolved mystery of Coats’ disease is why it occurs almost exclusively in males, and only unilaterally. The cause of the abnormal blood vessels remains unknown despite research and genetic advances. Some have proposed a hormonal theory, which remains unproven and doesn’t explain why only one eye is involved. Due to Coats’ tendency to predominantly affect males research has targeted sex chromosomes, but to date no definitive gene has been found.
How is Coats’ treated?
To treat Coats’, lasers are used to cauterize the abnormal blood vessels to stop leakage and allow the retina to dry. In some cases where retinal detachment occurs, surgery may be necessary. Sometimes due to the severity of the disease the eye may be inoperable.
Even if treated using laser, many patients still develop amblyopia or “lazy eye”. In order to keep the afflicted eye from developing amblyopia, patients cover the stronger eye to train the weaker eye. If the normal or better eye is not covered regularly the brain begins to ignore the weaker eye. If this happens for long, amblyopia can become permanent.
